Demystifying the Default Mode Network: An Overview of 30 Years of Research
WHY CONTEXT MATTERS
In a previous essay1 on the topic of online neuroscientific charlatanism, titled Substack offered me a Faustian bargain: “As a neuroscientist,” I turned it down..., I discussed just how important contextual nuance is to truth as it pertains to scientific claims. To judiciously arbitrate its veracity, a proposition must be set within the confines of well-established parameters, and this is true not only of scientific claims but any claim in general: context is everything. Consider the following passage in which I break down one such ill-defined assertion made by a self-anointed neuroscientist (highlight added by myself):
The vaguer a claim is, the more it tends towards epistemological void—asymptotic as that trajectory might be. In recent years, I have noticed one particular neuroscientific subject matter that I have spent some time studying integrate into the zeitgeist, that is, the default mode network (DMN). With numerous claims abounding (e.g., news, entertainment, social media, etc.), describing the DMN as the “ego” centre of the brain, the “inner narrator”, the “self-consuming loop,” or other some such characterizations, separating fact from fiction is becoming increasingly mystifying. Since the science of the DMN, itself, is far from “settled,” as with almost anything neuroscience-related, there is bound to be some modicum of sensationalism—if not, downright fake news—whenever the topic comes up in the wilderness of online information. In this piece, I provide some timely scientific background to adequately contextualize all the hype. While my objective here is not to validate nor “debunk” any specific proposition about what the DMN is or does, I do want to offer you, the reader, a general account of pertinent scientific findings so as to equip you with some of the means by which you can parse matters for yourself.
SCIENTIFIC OVERVIEW
![Figure 1. [Biswal et al. (1995)] (a) Finger-tapping task activations for one subject. | (b) Functional connectivity analysis using a central “pixel” in blob “b” showing positive (red) and negative (yellow) correlations. Figure 1. [Biswal et al. (1995)] (a) Finger-tapping task activations for one subject. | (b) Functional connectivity analysis using a central “pixel” in blob “b” showing positive (red) and negative (yellow) correlations.](https://substackcdn.com/image/fetch/$s_!xTP8!,w_1456,c_limit,f_auto,q_auto:good,fl_progressive:steep/https%3A%2F%2Fsubstack-post-media.s3.amazonaws.com%2Fpublic%2Fimages%2F20db3cb6-442e-4325-a99f-93ec3cbf5ed5_2214x1244.png)
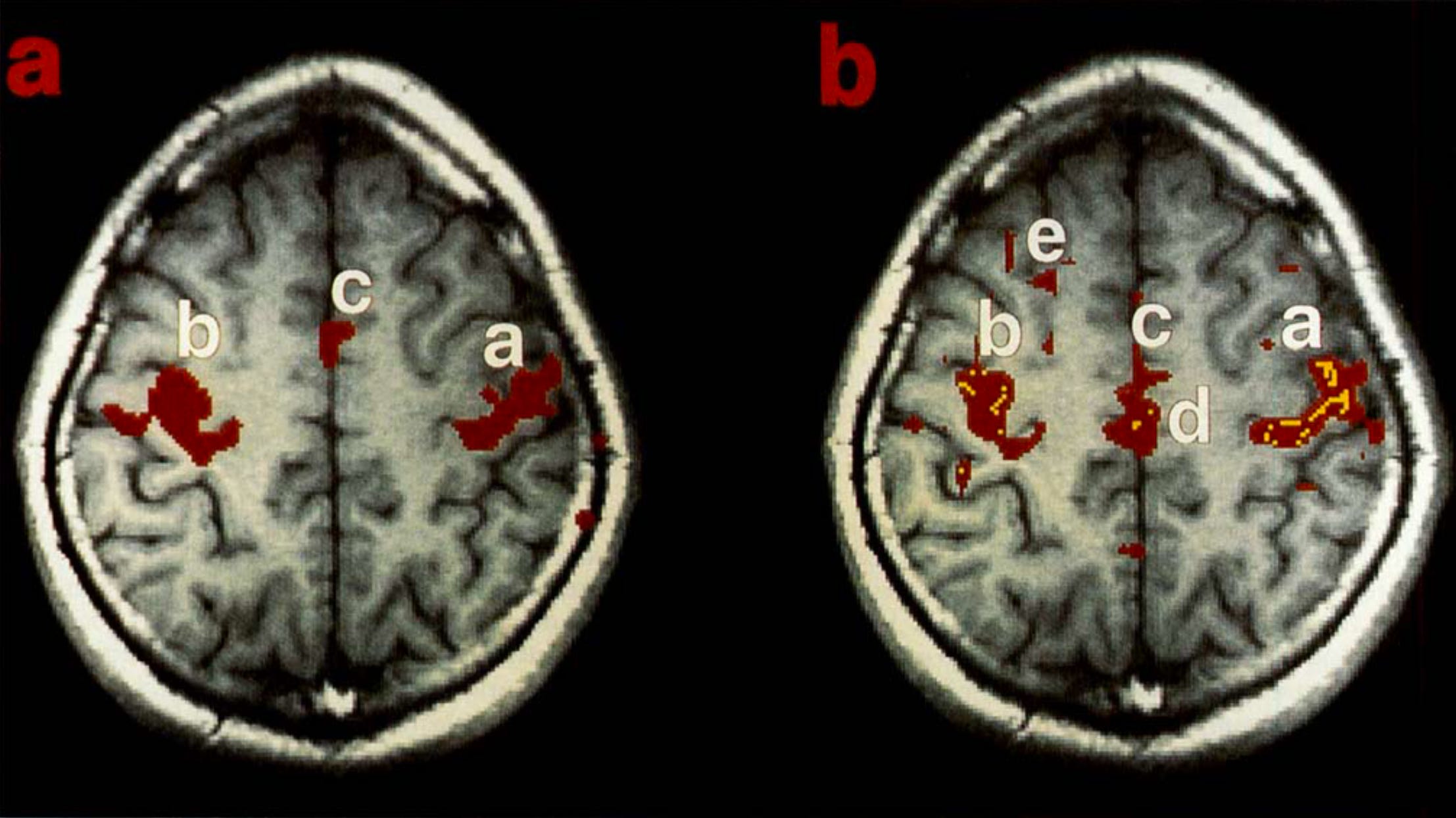
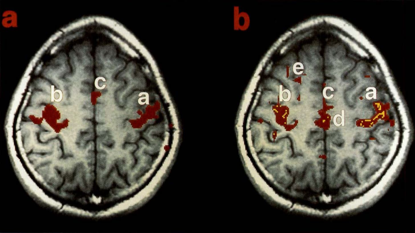
Biswal et al. (1995) is the study that set the field in motion, laying the groundwork for the discovery of whole-brain functional networks, including the DMN. Researchers wanted to know if there is an underlying organization to spontaneous low-frequencey fluctuations (<0.1 Hz) observable in the resting human brain via functional MRI (fMRI). They scanned eleven healthy individuals while they performed a bilateral finger-tapping task to identify regions of the sensorimotor cortex. Resting-state time-series were additionally acquired and used to compute correlation coefficients within these areas. Authors reported a “high degree of temporal correlation” within and across hemispheres in regions of the brain associated with motor function (Figure 1). This paper introduced the paradigm of functional connectivity, demonstrating that naturally-occurring resting-state brain fluctuations are structured and coherent, while paving the way for future studies to uncover the organization of the DMN using the same method.
![Figure 2. [Raichle et al. (2001)] Meta-analytical activations during attention demanding cognitive tasks. Figure 2. [Raichle et al. (2001)] Meta-analytical activations during attention demanding cognitive tasks.](https://substackcdn.com/image/fetch/$s_!s9YA!,w_1456,c_limit,f_auto,q_auto:good,fl_progressive:steep/https%3A%2F%2Fsubstack-post-media.s3.amazonaws.com%2Fpublic%2Fimages%2F60d0447d-670c-435b-a7db-c4f75027dea1_2582x944.png)
Raichle et al. (2001) explored the idea that task-induced cortical deactivations might represent a deviation from a physiological baseline state in the adult human brain. Titled, A default mode of brain function, the study used positron-emission tomography (PET) to measure the oxygen extraction fraction (OEF), which is the ratio between oxygen used by and delivered to the brain. Metabolic baseline measurements from three independent groups of healthy participants were compared to meta-analytical data derived from nine previous neuroimaging studies (Figure 2). The paper noted remarkable OEF uniformity throughout the brain at rest, indicative of a baseline metabolic equilibrium. The study also found that, once a person engages in goal-oriented tasks, deactivations from this established baseline occur within specific midline regions, namely, the posterior cingulate cortex (PCC), precuneus, and medial prefrontal cortex (mPFC) (Figure 3). These findings hinted at an underlying network of distributed, yet related cortical structures involved in the brain’s functional “zero set point.”
![Figure 3. [Raichle et al. (2001)] “Regions of the brain regularly observed to decrease their activity during attention-demanding cognitive tasks shown in sagittal projection (Upper) as compared with the blood flow of the brain while the subject rests quietly but is awake with eyes closed (Lower).” Figure 3. [Raichle et al. (2001)] “Regions of the brain regularly observed to decrease their activity during attention-demanding cognitive tasks shown in sagittal projection (Upper) as compared with the blood flow of the brain while the subject rests quietly but is awake with eyes closed (Lower).”](https://substackcdn.com/image/fetch/$s_!ElO8!,w_1456,c_limit,f_auto,q_auto:good,fl_progressive:steep/https%3A%2F%2Fsubstack-post-media.s3.amazonaws.com%2Fpublic%2Fimages%2F036eb3c8-c779-4bff-b544-ebd478e8ac26_2508x906.png)
The first direct evidence of the DMN came from Greicius et al. (2003) in which three questions were asked:
Is there a collection of brain regions that reliably shows increased activity at rest compared to objective-oriented cognition?
Is this network affected by simple sensory processing?
How is this system modulated by mental tasks?
Researchers used fMRI to scan fourteen healthy young adults under three conditions:
working memory task
passive viewing of a visual stimulus
resting-state with eyes closed
![Figure 4. [Greicius et al. (2003)] “Comparison of the PCC connectivity patterns during the visual processing task (Upper) and the resting-state (Lower). The blue arrows indicate the approximate location of the PCC peak […]” Figure 4. [Greicius et al. (2003)] “Comparison of the PCC connectivity patterns during the visual processing task (Upper) and the resting-state (Lower). The blue arrows indicate the approximate location of the PCC peak […]”](https://substackcdn.com/image/fetch/$s_!Hm10!,w_1456,c_limit,f_auto,q_auto:good,fl_progressive:steep/https%3A%2F%2Fsubstack-post-media.s3.amazonaws.com%2Fpublic%2Fimages%2F8505eb0e-eda4-462f-a1ee-06216c5fddae_2084x1526.png)
The PCC and ventral anterior cingulate cortex (vACC), which deactivated during working memory, were used to seed subsequent functional connectivity analyses in the resting-state and passive viewing conditions. Resultant cortical connectivity maps for both paradigms were “virtually identical,” showing significant coupling between the PCC and vACC as well as other areas, suggesting minimal modulation of this network by simple sensory processing (Figure 4). Interestingly, lateral prefrontal regions that were activated during task showed inverse correlations with the PCC at rest, indicating the existence of a dynamic mechanism by which the baseline “default mode network” is attenuated during goal-driven cognitive processes (Figure 5).
![Figure 5. [Greicius et al. (2003)] “Connectivity maps showing regions inversely correlated with the left VLPFC, the right VLPFC, and the right DLPFC. In each case, the only significant cluster was in the PCC.” Figure 5. [Greicius et al. (2003)] “Connectivity maps showing regions inversely correlated with the left VLPFC, the right VLPFC, and the right DLPFC. In each case, the only significant cluster was in the PCC.”](https://substackcdn.com/image/fetch/$s_!Hzba!,w_1456,c_limit,f_auto,q_auto:good,fl_progressive:steep/https%3A%2F%2Fsubstack-post-media.s3.amazonaws.com%2Fpublic%2Fimages%2F58c571de-d81d-40e2-86c5-16b898c27dd6_1704x662.png)
In a seminal paper by Yeo et al. (2011), a clustering algorithm was applied to the resting-state functional connectivity data of 1,000 subjects, yielding four stable parcellation schemes, of which, the 7-network solution is commonly referred to as the canonical resting-state networks (Figure 6, left). These networks include the Visual, Somatomotor, Dorsal Attention, Ventral Attention—or Salience—Limbic, Frontoparietal, and—of course—Default. (Figure 6, right).
![Figure 6. [Yeo et al. (2011)] (left) “Seven and 17 networks can be stably estimated. Instability of the clustering algorithm is plotted as a function of the number of estimated networks for the vertex-resampling variant of the stability analysis applied to 1,000 subjects. The clustering algorithm is less stable with increasing number of estimated networks, which is an expected property, since the number of estimated networks enlarges the solution space (and thus complexity) of the clustering problem.” | (right) “Discovery and replication of a 7-network cortical parcellation. The 7-network estimates are highly consistent across the discovery (n 500) and replication (n 500) data sets.” NB: the ventral attention network is also known as the salience network. Figure 6. [Yeo et al. (2011)] (left) “Seven and 17 networks can be stably estimated. Instability of the clustering algorithm is plotted as a function of the number of estimated networks for the vertex-resampling variant of the stability analysis applied to 1,000 subjects. The clustering algorithm is less stable with increasing number of estimated networks, which is an expected property, since the number of estimated networks enlarges the solution space (and thus complexity) of the clustering problem.” | (right) “Discovery and replication of a 7-network cortical parcellation. The 7-network estimates are highly consistent across the discovery (n 500) and replication (n 500) data sets.” NB: the ventral attention network is also known as the salience network.](https://substackcdn.com/image/fetch/$s_!L8i4!,w_1456,c_limit,f_auto,q_auto:good,fl_progressive:steep/https%3A%2F%2Fsubstack-post-media.s3.amazonaws.com%2Fpublic%2Fimages%2F5f849c7b-952c-44b3-a693-fa7119317145_2492x990.png)
In more recent years, with the advent of sophisticated machine learning techniques, connectomes (e.g., connectivity matrices) have been used to derive cortical gradients, capturing smooth topographic transitions in brain properties along the cortical mantle. In the age of Big Data, these approaches have expedited neuroimaging analytics by enabling researchers to decrease data complexity with no considerable loss to information content. In a process generally referred to as dimensionality reduction, “manifolds” can be derived from a starting dataset, corresponding to streamlined components that are stratified according to how much variance each one explains. In neuroscience parlance, these manifolds (or components) are the aforementioned cortical gradients. Margulies et al. (2016) used a similar technique on resting-state functional connectivity data to describe principal gradients of brain organization, notably demonstrating that the DMN occupies an apex locus that is structurally and functionally farthest away from “unimodal” areas involved in vision, audition, somatosensory processing, and movement (Figure 7).
![Figure 7. [Margulies et al. (2016)] (left) Principal gradient of connectivity (Gradient 1) showing unimodal regions (dark blue) and transmodal regions (sienna) peaking in the DMN. | (right) Schematic relationships between canonical resting-state networks along first two principal gradients (Gradient 1 & Gradient 2) [dmn, default-mode network; dorsal attn, dorsal attention network; sal, salience network; somato/mot, somatosensory/motor network.] Figure 7. [Margulies et al. (2016)] (left) Principal gradient of connectivity (Gradient 1) showing unimodal regions (dark blue) and transmodal regions (sienna) peaking in the DMN. | (right) Schematic relationships between canonical resting-state networks along first two principal gradients (Gradient 1 & Gradient 2) [dmn, default-mode network; dorsal attn, dorsal attention network; sal, salience network; somato/mot, somatosensory/motor network.]](https://substackcdn.com/image/fetch/$s_!kGrO!,w_1456,c_limit,f_auto,q_auto:good,fl_progressive:steep/https%3A%2F%2Fsubstack-post-media.s3.amazonaws.com%2Fpublic%2Fimages%2F6d282aae-79eb-4d41-9b15-b24835eeb47f_3176x1164.jpeg)
In a review written by my friends and colleagues, Smallwood et al. (2021) expatiated on the complex forms of mental processes (e.g., episodic memory, social cognition, mental time travel, etc.) supported by the DMN, framing its topographical distance from primary sensorimotor systems as an explanatory paradigm. The review also noted that, while it is not part of the so-called “multiple demand” system tuned to “attention-demanding tasks” that exhibit “task-positive” behaviour, the DMN is nonetheless heavily involved in external goal-directed cognition when decisions must be guided by prior experience, internal rules, or schema-based information, speaking to its multifaceted functionality.
![Figure 8. [Paquola et al. (2025)] “Upper left, the most common atlas of the DMN (used in primary analyses) is shown on the cortical surface. Lower left, cytoarchitectonic atlas of cortical types […] Upper middle, histogram depicting frequency of cortical types within the DMN. The plus sign indicates significant over-representation and the minus sign, under-representation, relative to whole-cortex proportions. Lower middle, schematic highlighting prominent features that vary across cortical types, including the location/size of largest pyramidal neurons (triangles), thickness of layer IV, existence of sublayers in V–VI (gray dashed lines), regularity of layer I/II boundary (straightness of line). Kon, koniocortical; Eul, eulaminate; Dys, dysgranular; Ag, agranular. Right, circular plot representing the spread of the DMN from externally to internally driven cortical types. The percentage of each type within the DMN is depicted by the amount of the respective line (not the area in between lines) covered by the red shaded violin.” Figure 8. [Paquola et al. (2025)] “Upper left, the most common atlas of the DMN (used in primary analyses) is shown on the cortical surface. Lower left, cytoarchitectonic atlas of cortical types […] Upper middle, histogram depicting frequency of cortical types within the DMN. The plus sign indicates significant over-representation and the minus sign, under-representation, relative to whole-cortex proportions. Lower middle, schematic highlighting prominent features that vary across cortical types, including the location/size of largest pyramidal neurons (triangles), thickness of layer IV, existence of sublayers in V–VI (gray dashed lines), regularity of layer I/II boundary (straightness of line). Kon, koniocortical; Eul, eulaminate; Dys, dysgranular; Ag, agranular. Right, circular plot representing the spread of the DMN from externally to internally driven cortical types. The percentage of each type within the DMN is depicted by the amount of the respective line (not the area in between lines) covered by the red shaded violin.”](https://substackcdn.com/image/fetch/$s_!9Q5d!,w_1456,c_limit,f_auto,q_auto:good,fl_progressive:steep/https%3A%2F%2Fsubstack-post-media.s3.amazonaws.com%2Fpublic%2Fimages%2F10574b41-fd80-4a5d-aa0b-4c4d934599fb_2576x864.png)
What we have seen of the scientific literature so far has primarily addressed the DMN in the context of function, which is ultimately constrained by physical structure. Thus, to fill a glaring lacuna pertaining to a fine-grained anatomical account of the functional multiplicity of the DMN, in Paquola et al. (2025), my colleagues and I brought to light the significance of its microarchitecture. Specifically, we combined postmortem 3D histology with in vivo multimodal neuroimaging (e.g., diffusion MRI, quantitative T1 relaxometry, and resting-state fMRI) to determine how DMN cytoarchitecture contributes to its structural wiring and information flow. The cellular morphology of associated brain regions displayed heterogeneity, with characteristics consistent with both unimodal (e.g., visual & auditory processing) and heteromodal (memory & self-referential abstraction) computations (Figure 8).
![Figure 9. [Paquola et al. (2025)] “Cytoarchitectural differentiation within the DMN. Principal eigenvector (E1) projected onto the inflated BigBrain surface shows the patterns of cytoarchitectural differentiation within the DMN. PHPC, parahippocampus; Prec., precuneus; IP, inferior parietal; MT, middle temporal; IF, inferior frontal; PFC, prefrontal cortex (superior frontal and anterior cingulate cortex).” Figure 9. [Paquola et al. (2025)] “Cytoarchitectural differentiation within the DMN. Principal eigenvector (E1) projected onto the inflated BigBrain surface shows the patterns of cytoarchitectural differentiation within the DMN. PHPC, parahippocampus; Prec., precuneus; IP, inferior parietal; MT, middle temporal; IF, inferior frontal; PFC, prefrontal cortex (superior frontal and anterior cingulate cortex).”](https://substackcdn.com/image/fetch/$s_!3vi2!,w_1456,c_limit,f_auto,q_auto:good,fl_progressive:steep/https%3A%2F%2Fsubstack-post-media.s3.amazonaws.com%2Fpublic%2Fimages%2Fa53aae02-28bc-423b-8e95-001fe07e78b8_2164x1324.png)
Using diffusion map embedding, a nonlinear manifold learning approach, we derived a principal cytoarchitectural axis—first eigenvector or E1—that described variations in laminar differentiation and cellular density in the DMN. Regions with lower E1 values (e.g., retrosplenial & posterior middle temporal cortex) acted as “receivers,” gathering convergent input from sensory hierarchies. Conversely, areas with higher E1 values (e.g., parahippocampus & anterior cingulate cortex) represented an “insulated core” that is “decoupled from perception of the here and now” (Figure 9). By highlighting underlying cytoarchitectonics, our study was the first to describe the DMN as an “association hierarchy” where microstructural heterogeneity translates into functional polyvalence.
THE ROAD AHEAD
Over 30 years of rigorous scientific investigation have gone into defining and characterizing the DMN. Deactivated during attention-demanding tasks and involved in complex, internally-oriented cognition, this network consists of a set of functionally interconnected brain regions distributed across the cortical mantle, with a multilayered and heterogenous cytoarchitectural composition. While much progress has been made in the field since the mid-1990s and early 2000s, many questions remain unanswered. Among these pressing issues are:
the cellular mechanisms that support the dynamic balance between excitation and inhibition in the DMN
the characterization and functional relevance of sub-networks within the DMN
the functional integration of the DMN with other canonical networks for sustaining subjective continuity
the role of DMN alternation in psychopathology and how it may be targeted therapeutically
the development and progression of the network across lifespan and its evolutionary origins
The above is, by no means, an exhaustive list, but addressing them and other related questions in the years and decades to come will have important scientific implications. Breakthroughs will be precipitated by progress in neuroimaging analytics, computational modelling, causal interventions, and translational research. Advances in these areas will transform our understanding of the self, cognition, mental health, and consciousness, and I, for one, am excited to see what the field has in store, awaiting for the next big blockbuster discovery, the science of which, I will be sure to share with you.
BIBLIOGRAPHY
Biswal, B., Zerrin Yetkin, F., Haughton, V. M., & Hyde, J. S. (1995). Functional connectivity in the motor cortex of resting human brain using echo‐planar MRI. Magnetic resonance in medicine, 34(4), 537-541.
Greicius, M. D., Krasnow, B., Reiss, A. L., & Menon, V. (2003). Functional connectivity in the resting brain: a network analysis of the default mode hypothesis. Proceedings of the national academy of sciences, 100(1), 253-258.
Margulies, D. S., Ghosh, S. S., Goulas, A., Falkiewicz, M., Huntenburg, J. M., Langs, G., ... & Smallwood, J. (2016). Situating the default-mode network along a principal gradient of macroscale cortical organization. Proceedings of the National Academy of Sciences, 113(44), 12574-12579.
Paquola, C., Garber, M., Frässle, S., Royer, J., Zhou, Y., Tavakol, S.2, ... & Bernhardt, B. C. (2025). The architecture of the human default mode network explored through cytoarchitecture, wiring and signal flow. Nature neuroscience, 28(3), 654-664.
Raichle, M. E., MacLeod, A. M., Snyder, A. Z., Powers, W. J., Gusnard, D. A., & Shulman, G. L. (2001). A default mode of brain function. Proceedings of the national academy of sciences, 98(2), 676-682.
Smallwood, J., Bernhardt, B. C., Leech, R., Bzdok, D., Jefferies, E., & Margulies, D. S. (2021). The default mode network in cognition: a topographical perspective. Nature reviews neuroscience, 22(8), 503-513.
Yeo, B. T., Krienen, F. M., Sepulcre, J., Sabuncu, M. R., Lashkari, D., Hollinshead, M., ... & Buckner, R. L. (2011). The organization of the human cerebral cortex estimated by intrinsic functional connectivity. Journal of neurophysiology.
“Tavakol, S.” refers to yours truly!




